Reabilitare maxilara

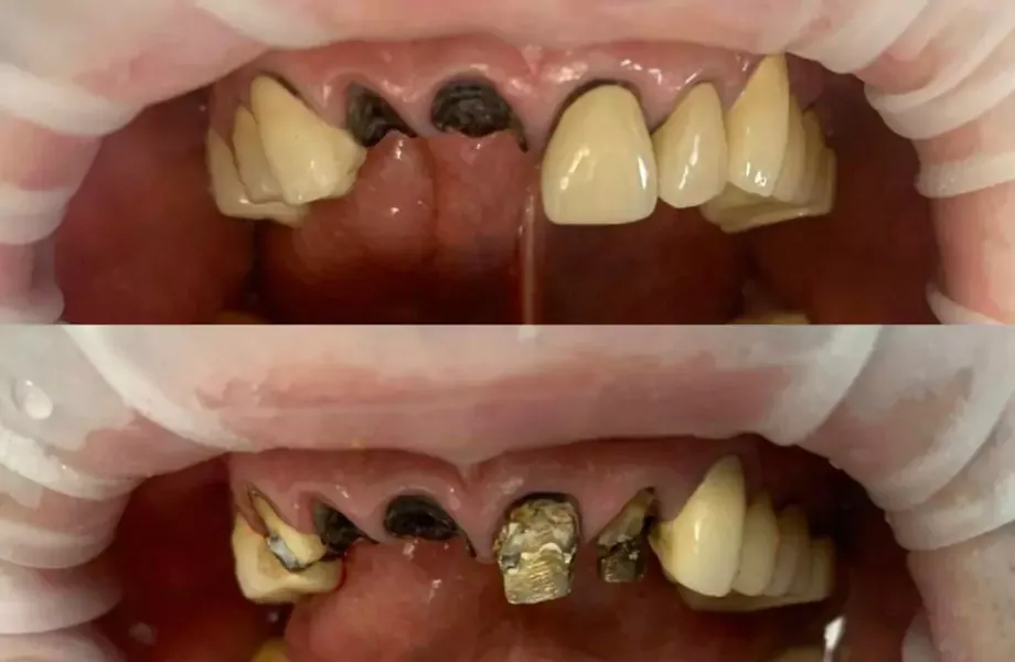
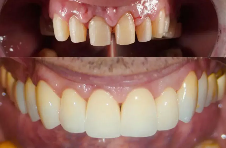
Va prezentam un caz complex de reabilitare maxilara. Dupa consultatie si prezentarea tuturor posibilitatilor, pacientul, impreuna cu medicul curant au luat decizia de a incerca recuperarea dintilor. A fost o adevarata provocare, intrucat dintii aflati sub vechile lucrari protetice, erau foarte afectati de carii. Cu ajutorul tratamentelor endodontice, restaurarii bonturilor protetice si chirurgiei mucogingivale prin alungire coronara, toti dintii pacientului au putut fi salvati. Partea protetica s-a realizat utilizand coroane din zirconiu cu aditie ceramica.